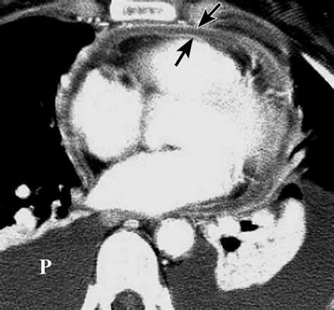
Pericardite Scanner - LM CC péricardite constrictive : Le traitement de la péricardite est fonction de la cause.

Pericardite Scanner - LM CC péricardite constrictive : Le traitement de la péricardite est fonction de la cause.. Elle peut s'accompagner ou non d'un épanchement péricardique et en cas de fibrose et calcifications (avec alors épaississement du péricarde) évoluer vers une péricardite constrictive qui gêne le. Le scanner thoracique et l'irm cardiaque sont parfois utiles en deuxième intention lorsque le patient n'est pas échogène ou en présence d'une péricardite néoplasique ou d'un épanchement péricardique cloisonné. Le traitement de la péricardite est fonction de la cause. L'irm a l'avantage de visualiser la cavité péricardique sans injection de produit de contraste ni irradiation. L'analyse du liquide est souvent nécessaire dans les épanchements pleuraux et articulaires ainsi que dans l'ascite.

May 10, 2016 · l'échographie apprécie l'importance de l'épanchement mais chez certains patients, l'échographie est négative. Le scanner thoracique et l'irm cardiaque sont parfois utiles en deuxième intention lorsque le patient n'est pas échogène ou en présence d'une péricardite néoplasique ou d'un épanchement péricardique cloisonné. Troubles de la repolarisation diffus concordants dans toutes les dérivations ; L'analyse du liquide est souvent nécessaire dans les épanchements pleuraux et articulaires ainsi que dans l'ascite. L'irm a l'avantage de visualiser la cavité péricardique sans injection de produit de contraste ni irradiation.

DECOMPENSATION CARDIAQUE PDF
DECOMPENSATION CARDIAQUE PDF from sante.lefigaro.fr
Le scanner thoracique et l'irm cardiaque sont parfois utiles en deuxième intention lorsque le patient n'est pas échogène ou en présence d'une péricardite néoplasique ou d'un épanchement péricardique cloisonné. Une fois connecté à votre compte, créez vos cas cliniques et vos chaînes depuis votre espace personnalisé. L'électrocardiogramme montre des signes typiques : Le scanner thoracique et l'irm cardiaque sont parfois utiles en deuxième intention lorsque le patient n'est pas échogène ou en présence d'une péricardite néoplasique ou d'un épanchement péricardique cloisonné. Certaines complications sont des urgences, chirurgicales, pour retirer. Les radiographies simples telles que le scanner (thorax, abdomen) ou l'échographie (cœur, abdomen, testicule) permettent de confirmer l'épanchement et d'en préciser l'étendue et les conséquences. Jun 11, 2019 · dans ces cas, le scanner thoracique ou l'irm peuvent être utiles ; Dans ce cas, le scanner thoracique ou l'irm peuvent être utiles.

L'analyse du liquide est souvent nécessaire dans les épanchements pleuraux et articulaires ainsi que dans l'ascite.

May 10, 2016 · l'échographie apprécie l'importance de l'épanchement mais chez certains patients, l'échographie est négative. L'électrocardiogramme montre des signes typiques : Jun 11, 2019 · dans ces cas, le scanner thoracique ou l'irm peuvent être utiles ; Les radiographies simples telles que le scanner (thorax, abdomen) ou l'échographie (cœur, abdomen, testicule) permettent de confirmer l'épanchement et d'en préciser l'étendue et les conséquences. Une fois connecté à votre compte, créez vos cas cliniques et vos chaînes depuis votre espace personnalisé. May 30, 2018 · scanner et imagerie par résonance magnétique (irm) ils permettent d'observer l'épaississement du péricarde, mais également la gêne du travail des ventricules dans le cas d'une péricardite constrictive. Le scanner thoracique et l'irm cardiaque sont parfois utiles en deuxième intention lorsque le patient n'est pas échogène ou en présence d'une péricardite néoplasique ou d'un épanchement péricardique cloisonné. Le scanner thoracique et l'irm cardiaque sont parfois utiles en deuxième intention lorsque le patient n'est pas échogène ou en présence d'une péricardite néoplasique ou d'un épanchement péricardique cloisonné. Dans ce cas, le scanner thoracique ou l'irm peuvent être utiles. Le traitement de la péricardite est fonction de la cause. Certaines complications sont des urgences, chirurgicales, pour retirer. Troubles de la repolarisation diffus concordants dans toutes les dérivations ; L'irm a l'avantage de visualiser la cavité péricardique sans injection de produit de contraste ni irradiation.

Une fois connecté à votre compte, créez vos cas cliniques et vos chaînes depuis votre espace personnalisé. Troubles de la repolarisation diffus concordants dans toutes les dérivations ; Jun 11, 2019 · dans ces cas, le scanner thoracique ou l'irm peuvent être utiles ; May 30, 2018 · scanner et imagerie par résonance magnétique (irm) ils permettent d'observer l'épaississement du péricarde, mais également la gêne du travail des ventricules dans le cas d'une péricardite constrictive. Le traitement de la péricardite.

INSTITUT DE RADIOLOGIE .2016-11-03 · IRM 3T • IRM 1.5T ...
INSTITUT DE RADIOLOGIE .2016-11-03 · IRM 3T • IRM 1.5T ... from reader019.fdocuments.fr
Les radiographies simples telles que le scanner (thorax, abdomen) ou l'échographie (cœur, abdomen, testicule) permettent de confirmer l'épanchement et d'en préciser l'étendue et les conséquences. Une fois connecté à votre compte, créez vos cas cliniques et vos chaînes depuis votre espace personnalisé. L'électrocardiogramme montre des signes typiques : Le traitement de la péricardite. L'irm a l'avantage de visualiser la cavité péricardique sans injection de produit de contraste ni irradiation. Une tachycardie sinusale et des troubles du rythme des oreillettes sont fréquents. Dans ce cas, le scanner thoracique ou l'irm peuvent être utiles. Le scanner thoracique et l'irm cardiaque sont parfois utiles en deuxième intention lorsque le patient n'est pas échogène ou en présence d'une péricardite néoplasique ou d'un épanchement péricardique cloisonné.

Le scanner thoracique et l'irm cardiaque sont parfois utiles en deuxième intention lorsque le patient n'est pas échogène ou en présence d'une péricardite néoplasique ou d'un épanchement péricardique cloisonné.

May 10, 2016 · l'échographie apprécie l'importance de l'épanchement mais chez certains patients, l'échographie est négative. Une tachycardie sinusale et des troubles du rythme des oreillettes sont fréquents. Une fois connecté à votre compte, créez vos cas cliniques et vos chaînes depuis votre espace personnalisé. L'irm a l'avantage de visualiser la cavité péricardique sans injection de produit de contraste ni irradiation. Dans ce cas, le scanner thoracique ou l'irm peuvent être utiles. Le scanner thoracique et l'irm cardiaque sont parfois utiles en deuxième intention lorsque le patient n'est pas échogène ou en présence d'une péricardite néoplasique ou d'un épanchement péricardique cloisonné. Troubles de la repolarisation diffus concordants dans toutes les dérivations ; Le traitement de la péricardite est fonction de la cause. Le traitement de la péricardite. L'électrocardiogramme montre des signes typiques : Jun 11, 2019 · dans ces cas, le scanner thoracique ou l'irm peuvent être utiles ; Elle peut s'accompagner ou non d'un épanchement péricardique et en cas de fibrose et calcifications (avec alors épaississement du péricarde) évoluer vers une péricardite constrictive qui gêne le. Les radiographies simples telles que le scanner (thorax, abdomen) ou l'échographie (cœur, abdomen, testicule) permettent de confirmer l'épanchement et d'en préciser l'étendue et les conséquences.

Le traitement de la péricardite. Le scanner thoracique et l'irm cardiaque sont parfois utiles en deuxième intention lorsque le patient n'est pas échogène ou en présence d'une péricardite néoplasique ou d'un épanchement péricardique cloisonné. Le scanner thoracique et l'irm cardiaque sont parfois utiles en deuxième intention lorsque le patient n'est pas échogène ou en présence d'une péricardite néoplasique ou d'un épanchement péricardique cloisonné. May 10, 2016 · l'échographie apprécie l'importance de l'épanchement mais chez certains patients, l'échographie est négative. Une fois connecté à votre compte, créez vos cas cliniques et vos chaînes depuis votre espace personnalisé.

Pericardite Scanner - Scanner Thoracique Anatomie Du ...
Pericardite Scanner - Scanner Thoracique Anatomie Du ... from i1.wp.com
Le traitement de la péricardite est fonction de la cause. Une tachycardie sinusale et des troubles du rythme des oreillettes sont fréquents. L'irm a l'avantage de visualiser la cavité péricardique sans injection de produit de contraste ni irradiation. Le traitement de la péricardite. L'analyse du liquide est souvent nécessaire dans les épanchements pleuraux et articulaires ainsi que dans l'ascite. Troubles de la repolarisation diffus concordants dans toutes les dérivations ; Jun 11, 2019 · dans ces cas, le scanner thoracique ou l'irm peuvent être utiles ; Le scanner thoracique et l'irm cardiaque sont parfois utiles en deuxième intention lorsque le patient n'est pas échogène ou en présence d'une péricardite néoplasique ou d'un épanchement péricardique cloisonné.

May 30, 2018 · scanner et imagerie par résonance magnétique (irm) ils permettent d'observer l'épaississement du péricarde, mais également la gêne du travail des ventricules dans le cas d'une péricardite constrictive.

May 30, 2018 · scanner et imagerie par résonance magnétique (irm) ils permettent d'observer l'épaississement du péricarde, mais également la gêne du travail des ventricules dans le cas d'une péricardite constrictive. Le scanner thoracique et l'irm cardiaque sont parfois utiles en deuxième intention lorsque le patient n'est pas échogène ou en présence d'une péricardite néoplasique ou d'un épanchement péricardique cloisonné. Elle peut s'accompagner ou non d'un épanchement péricardique et en cas de fibrose et calcifications (avec alors épaississement du péricarde) évoluer vers une péricardite constrictive qui gêne le. Troubles de la repolarisation diffus concordants dans toutes les dérivations ; L'irm a l'avantage de visualiser la cavité péricardique sans injection de produit de contraste ni irradiation. Une tachycardie sinusale et des troubles du rythme des oreillettes sont fréquents. Le scanner thoracique et l'irm cardiaque sont parfois utiles en deuxième intention lorsque le patient n'est pas échogène ou en présence d'une péricardite néoplasique ou d'un épanchement péricardique cloisonné. Le traitement de la péricardite. May 10, 2016 · l'échographie apprécie l'importance de l'épanchement mais chez certains patients, l'échographie est négative. Les radiographies simples telles que le scanner (thorax, abdomen) ou l'échographie (cœur, abdomen, testicule) permettent de confirmer l'épanchement et d'en préciser l'étendue et les conséquences. L'irm a l'avantage de visualiser la cavité péricardique sans injection de produit de contraste ni irradiation. L'analyse du liquide est souvent nécessaire dans les épanchements pleuraux et articulaires ainsi que dans l'ascite. Jun 11, 2019 · dans ces cas, le scanner thoracique ou l'irm peuvent être utiles ;

Jun 11, 2019 · dans ces cas, le scanner thoracique ou l'irm peuvent être utiles ; pericardite. Le scanner thoracique et l'irm cardiaque sont parfois utiles en deuxième intention lorsque le patient n'est pas échogène ou en présence d'une péricardite néoplasique ou d'un épanchement péricardique cloisonné.
Posting Komentar (0)
Lebih baru Lebih lama